Consultorio Radiológico

Nuestros Servicios

Conozca todas las opciones que le brindaremos en nuestro Centro de Salud. Ante cualquier duda, puede realizar su consulta escribiendonos a nuestro correo electrónico o redes sociales.


No image

Radiografías

La atención es por orden de llegada. Para realizarla, no deberá poseer objetos metálicos (medallas, aros, etc), tampoco vestimenta con botones o cierres.

No image

Ecografías

Realizamos ecografías abdominales, renales, de embarazo, de próstata, de vejiga, ginecológicas, de tiroides, de partes blandas y extremidades. Deberá solicitar su turno.

No image

Mamografías

Se realizan por orden de llegada.

No image

Colón por Enema Doble Contraste

Deberá solicitar su turno, solo por la mañana temprano.

No image

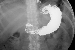
Seriada Esofago- gastroduodenal

Deberá solicitar su turno, solo por la mañana temprano. El paciente deberá estar en ayunas para realizar el estudio.

Sobre Nosotros

Desde 1985, asumimos el compromiso de dar respuesta a nuestros pacientes a través de nuestro servicio de Diagnóstico por Imágenes. En la actualidad, contamos con tecnología de vanguardia, y la mejor atención personalizada.

Está ubicado en la localidad de General José de San Martín, Provincia del Chaco. A diario, recibimos a pacientes de las localidades del interior de la provincia y la región del Nordeste Argentino.

No image